Common Problems

At San Marcos Orthodontics, we see firsthand how orthodontic problems can affect patients of all ages. In fact, teeth are rarely naturally perfect, and many children, teens, and adults in the San Marcos area experience bite or alignment concerns at some point in their lives. These issues, known as malocclusions or “bad bites,” can impact more than just appearance. They may affect chewing, speaking, oral hygiene, and long-term dental health.

Orthodontic problems can be genetic or develop over time due to thumb sucking, early or late loss of baby teeth, dental disease, poor oral hygiene, injuries, birth defects, or other medical conditions. Without treatment, these concerns often become more noticeable or complicated.

What Are The Most Common Orthodontic Problems?

At San Marcos Orthodontics, we believe that understanding your orthodontic condition is the first step toward improving your smile. With personalized orthodontic care, we can help improve how your teeth function together while also enhancing the overall look and balance of your smile. Below are some of the most common orthodontic problems we treat in our San Marcos office.

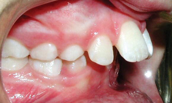
Upper Front Teeth Protrusion

The appearance and function of your teeth are impacted by this type of bite. It is characterized by the upper teeth extending too far forward or the lower teeth not extending far enough forward.

Overbite

The upper front teeth extend out over the lower front teeth, sometimes causing the lower front teeth to bite into the roof of the mouth.

Crossbite

The upper teeth sit inside the lower teeth, which may cause misaligned jaw growth.

Openbite

Proper chewing is impacted by this type of bite, in which the upper and lower front teeth do not overlap. Openbite may cause a number of unwanted habits, such as tongue thrusting.

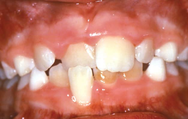
Crowding

Crowding occurs when teeth have insufficient room to erupt from the gum. Crowding can often be corrected by expansion, and many times, tooth removal can be avoided.

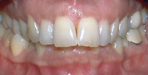
Spacing

Spacing problems may be caused by missing teeth, or they may only be a cosmetic or aesthetic issue.

 

Underbite

In an underbite, the lower jaw extends out, causing the lower front teeth to sit in the front of the upper front teeth.